症例紹介
当院のインプラント症例集①
こんにちは。三重県伊賀市にある歯医者「SPT 矢谷歯科口腔医院」です。
日頃より当院をご愛顧いただきまして誠にありがとうございます。
当院は伊賀市だけではなく近隣の名張市や亀山市、津市などからも患者様にご来院していただいております。今後もますますと発展していき、患者様に貢献できるように頑張っていきます。
さて今回の症例コラムはインプラント治療の症例を解説させていただければと思います。今回はインプラントの症例を2例ご紹介させていただきます。
目次
インプラント治療とは?
まず初めにインプラント治療とはどんなのかと言いますと、人工的な歯根をご自身のアゴの骨に埋め込み、その上に人工歯を取り付ける方法のことです。審美性や機能性に優れています。またBr治療とは違い、隣接する歯を削らなくてもいいこともメリットのうちの1つになります。インプラント治療について詳細を知りたい方は当院ホームページのインプラントページを参照にしていただけたらと思います。
インプラント症例①
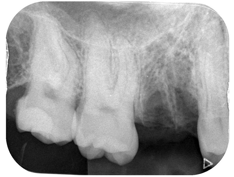
初診時の口腔内の状態



患者様は35歳、男性の方で、主訴としては患者様から何か訴えるということはなかったです。元々を言えば、他の歯の治療やクリーニングで来院されていたのですが、口腔内を診察させていただきましたところ、右上の奥歯(右上6)が崩壊していて、根っこだけの状態であったのですが、特に痛みなどはなくずっと放置していたとのことでした。私から食事をする時など食べにくくないか聞いたところ、ずっと前から気になっていて今回を機会に治療したいとの申し出がございました。
レントゲン写真およびCT画像なのですが、右上6が残歯状態であり歯根破折を起こしている状態でした。しかし歯槽骨から上顎洞底までの距離は十分に認められます。この歯槽骨から上顎洞までの距離がないとソケットリフトなどのオプションの処置が必要になってくるのですが、今回の症例では大掛かりな処置の必要はなく症例の難易度としては比較的イージーな方でした。上顎洞などに関して知りたい方はこちらのページを参照にしていただければと思います。
PRGFを使用した抜歯窩の保存


抜歯をした際は、通常抜歯窩は縮小して治癒してくるので、インプラントをする時に土台となる骨が足りなくなったりして不利になることがあります。抜歯後の経過について詳しくお知りになりたい方は当院のコラムを参照にしてみてください。
例えでいうと、家を建てる時に、しっかりとした土地に家を立てないと家はすぐに崩れてしまいます。それと同じようにインプラントもあごの骨というしっかりとした土台にしないと長いこと持たせるのが難しくなります。当院では抜歯を行う際にPRGF-Endoret®と言って、BTI(Biotechnology institute)社が提供している、技術を使用して抜歯窩の保存に努めています。PRGFを簡単に言うと自分の血液を遠心分離機に掛けて創部の治癒に不可欠な血小板の固まりを作る方法です。詳しくお知りになりたい方は当院のホームページ:PRGF-Endoret®テクノロジーを参照にしてください。
インプラント埋入手術


インプラントの埋入に関しては1回法で行いました。抜歯した部位の骨はしっかりと治癒していました。インプラント埋入後はヒーリングキャップと言ってインプラント周囲の歯茎の形態を整えるためのキャップを装着しました。手術時は特に大きな問題はなく無事に手術が終了しました。
インプラント部印象


インプラント埋入後におよそ3ヶ月後にインプラント部の型取りとシェード採取を行います。クローズドトレー法という方法で行いました。
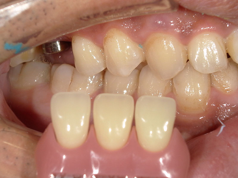
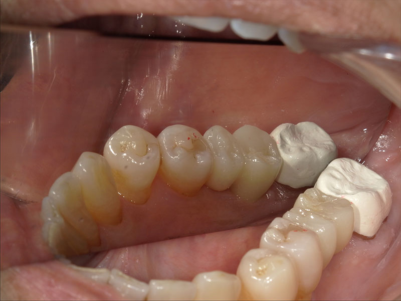
インプラント上部構造装着



インプラントの上部構造と言って、インブラントの「歯」に核当する部分を装着しました。隣在歯との歯にも調和しています。患者様にも咬みやすいと喜んでいただくことができました。
治療詳細
治療内容:右上6に対して抜歯およびPRGFを充填して、治癒を待ってからインプラント治療を行いました。
治療期間:約12ヶ月
回数:回数:19回
(術前クリーニング、インプラント術後洗浄および経過観察等、他部位の治療を含む)
(当院では術後もインプラントの部分がちゃんと治癒してきているかなどしっかりと経過観察を行うので、来院回数もおのずと増えます。)
費用:費用:総額 ¥600,220-(税込み)
そのうちインプラント治療費としては、¥555,500-(税込み)(検査、診断、PRGF、インプラント手術、上部構造費用等を含む)
リスク・副作用: 出血、腫脹、疼痛、青痣、神経麻痺、補綴物の脱落・破折、インプラント体の破折、咬合違和感、インプラント周囲粘膜炎、インプラント周囲炎、上顎洞穿孔、上顎洞炎等
インプラント症例②
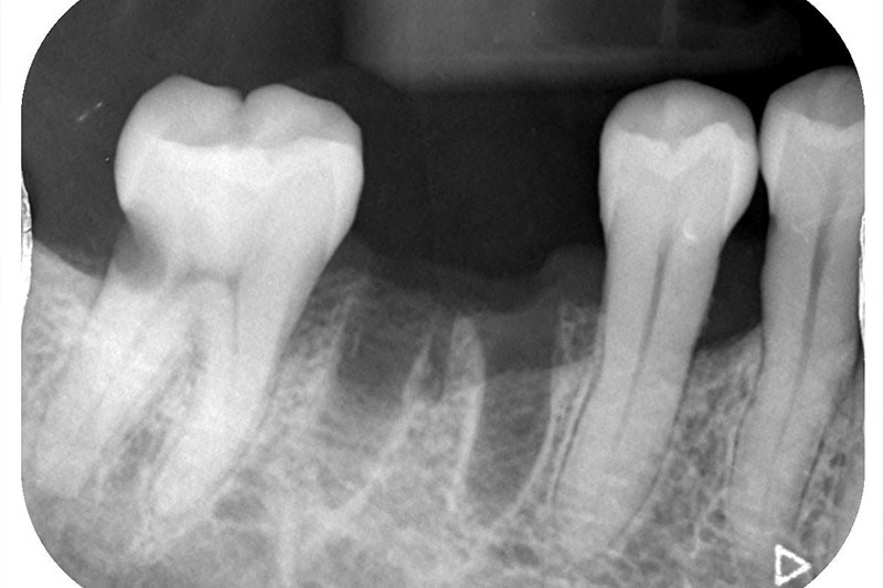
初診時の口腔内の状態



患者様は66歳、女性の方で、主訴としては右下の奥歯の治療をしたいとのことで来院されました。元々の当院に来院されたきっかけとしては、元々他院に行かれていたのですが、左右両側の親知らずの周囲の歯茎が炎症を起こし痛みを繰り返していたのですが、過去に顎が外れたことがあるらしく、そこから怖くて大きくお口を開けれないとのことでした。お口が開きにくいことから抜歯が困難とのことで他院ドクターからそのまま患部の洗浄をしながらの様子見でずっと過ごされていたとのことです。そこで当院に来院していただいてお口を見させていただいたのですが、意外とお口を開けていただくことができたので、親知らずの根っこの形態や生え方など総合的に考慮して、器具さえ入れば抜歯できると考え当院で抜歯させていただきました。抜歯の際は顎が外れないように患者様自身の手で少し押さえてもらいながら行いました。初めはとても不安そうだったのですが、案外すんなりと抜歯できたのでよかったです。そこから安心していただいたのか残りの反対の方の親知らずも抜歯しました。そして最終的には右下のインプラント治療を任せてもらうことになりました。
右下6の状態としては虫歯が進行していて、保存不可の状態でした。患者様との相談の結果、インプラント治療を行うことになりました。
残根抜歯とPRGFを使用した抜歯窩の保存





コラムを拝見してくださっている方は根っこだけだから簡単に抜歯できると思われがちかもしれませんが、そうはいきません。むしろ根っこだけの状態の方が抜歯は難しくなります。何故なら歯を抜く時に使用する鉗子(歯を引っ張って抜くためのペンチみたいな器具のこと)で掴むことが困難だからです。もし鉗子で掴むところがなければ根っこが埋まっている周囲の骨を削らないといけないです。周囲の骨を削ると抜歯後に骨が目減りするのでインプラントを行う際に不利になる可能性があるので、なるべく削らないようにします。このような時当院では図で示したような特殊な道具を使用します。この道具を使用して根っこを引っ張り出すように抜歯するので、周囲の骨を削る必要がありません。今回は特殊な道具を使用して抜歯できたのでよかったのですが、この道具を使用しても抜歯できない場合がありますので、その際は周囲の骨を削って抜歯するしかありません。
この道具なかなか高価なので持っている歯科医院さんが少ないのですが、自称抜歯専門としては持っておかなかればならないと思ったので思い切って購入しました。笑
またインプラント症例①でも行ったように抜歯窩の保存をするために、抜歯時にPRGFを抜歯窩に充填しました。
インプラント埋入手術



インプラントの埋入に関しては1回法で行いました。抜歯した部位の骨はしっかりと治癒していました。インプラント埋入後はヒーリングキャップを装着しました。手術時は特に大きな問題はなく無事に手術が終了しました。インプラントの露出を避けるためにも骨幅が少しでも広いところに埋入するために理想的な位置よりは少し後ろになっています。
インプラント部印象


インプラント埋入後におよそ3ヶ月後にインプラント部の型取りを行いました。クローズドトレー法で行いました。
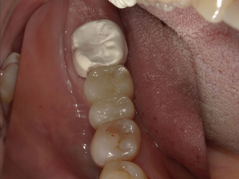
インプラント上部構造装着




インプラントの上部構造を装着しました。インプラント部の清掃性を考え、小臼歯が2つ並んだような形態にしました。こちらの形態の方が歯間ブラシが通しやすくインプラントが長持ちします。
治療詳細
治療内容:右下6に対して抜歯およびPRGFを充填して、治癒を待ってからインプラント治療を行いました。
治療期間:約16ヶ月
回数:回数:26回
(術前クリーニング、インプラント術後洗浄および経過観察、他部位の治療等を含む)
(当院では術後もインプラントの部分がちゃんと治癒してきているかなどしっかりと経過観察を行うので、来院回数もおのずと増えます。)
費用:費用:総額 ¥586,860-(税込み)
そのうちインプラント治療費としては、¥533,500-(税込み)(検査、診断、PRGF、インプラント手術、ソケットリフト、上部構造費用等を含む)
費用:費用:総額 ¥-(税込み)
(検査、診断、インプラント手術、ソケットリフト、上部構造費用等を含む)
リスク・副作用: 出血、腫脹、疼痛、青痣、神経麻痺、補綴物の脱落・破折、インプラント体の破折、咬合違和感、インプラント周囲粘膜炎、インプラント周囲炎、上顎洞穿孔、上顎洞炎等
総評
症例を通して、インプラント治療は決して安い治療ではないので、最初からインプラント治療を求めて歯科医院を訪れる方は比較的少ないと思います。しかし当院で健康を維持するため歯の重要性や噛めることの大切さをお伝えして、それを十分理解してもらった上でインプラント治療が成り立つのかなぁと思います。またインプラント治療をしてはい終わりではなく、その先の食事をすることが楽しくなったや家族との会話が増えた、歯が綺麗になって人生がイキイキとしてきたなど何か付加価値を付け加えればと思います。今回ご紹介した症例の患者様もインプラント治療は高額ですが、歯の重要性を十分理解されて行わせていただいたと考えています。特に犬歯と第一大臼歯はキーテュースとなり大変重要です。またインプラントはメンテナンスも非常に重要ですので、インプラントが長持ちするように引き続き経過観察を行います。
上記に似た症状がある方や自分の口腔内が気になる方、インプラント治療に興味をお持ちの方は、三重県伊賀市にある歯医者「SPT 矢谷歯科口腔医院」にご相談ください。当院では、伊賀市だけでなく、名張市、亀山市、津市などの近隣地域からお越しの患者様にも対応しております。ご興味をお持ちの方は、ぜひお気軽にご来院ください。
当院の院長・副院長は口腔外科出身で、親知らずの抜歯やインプラント治療などを得意としています。虫歯・歯周病治療や矯正治療、入れ歯治療なども行っております。ホームページはこちら、ご予約・お問い合わせもお待ちしておりますので、ぜひご覧ください。




